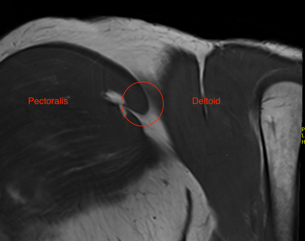
Pectoralis major tears
Patients can sometimes tear their pectoralis major muscle, often when doing bench press at the gym. This injury is often associated with a tearing sensation, pain, and bruising and swelling. This injury can be missed.
Clinical examination is usually good a identifying when this injury has occurred. Surgery can be indicated to fix the pectoralis tendon tear, especially when the tear is significant, and torn off the bone. However, sometimes the tear occurs at the area where the muscle attaches to the tendon, which is not easy or reliable to fix. For this reason, getting an urgent MRI can be very helpful, although the MRI is not always accurate.



If patients would like normal strength when doing bench press, or are not happy with the cosmetic affect of having a ruptured pec muscle, surgery can be performed.
Postoperative rehabilitation
Shoulder surgery is performed as day surgery at Women’s College Hospital. Someone must come and pick you up and take you home. It is advised to have someone around to help you for the first two days. All patients will be provided with a script for medications that should be filled at the hospital prior to going home. Medications will usually be Celebrex in the morning for 2 weeks, Aspirin at night for two weeks, and Tylenol regularly for the first week. A script for oxycodone will also be provided.
All patients will wear a sling to sleep and walk for 6 weeks after surgery. After one week, the sling can be removed when sitting in a chair, and patients are allowed to use a computer, keyboard, and mouse. Physiotherapy usually begins 6 weeks after surgery, once the shoulder is pain free, and the risk of retear is low.
If possible, patients should rent a Gameready machine, which provides ice and compression to the knee, significantly reducing postoperative pain. The information for the rental company will be provided to you. Patients are seen in clinic two weeks after surgery, for wound review.
Patients should take a week off work after the surgery. Patients are not allowed to play sport for 6 months after surgery.
Risks of surgery
Shoulder surgery is a relatively safe operation. This is open surgery, with a 1/100 risk of deep infection, major stiffness, DVT/PE, major nerve or blood vessel damage, and humerus fracture. Patients can get local areas of numbness around the incision, which typically improves over a year or two. The risk of retear of the pectoralis major repair is approximately 5% – this is minimized by being in a sling for 6 weeks, and rehabilitating appropriately for 6 months.
