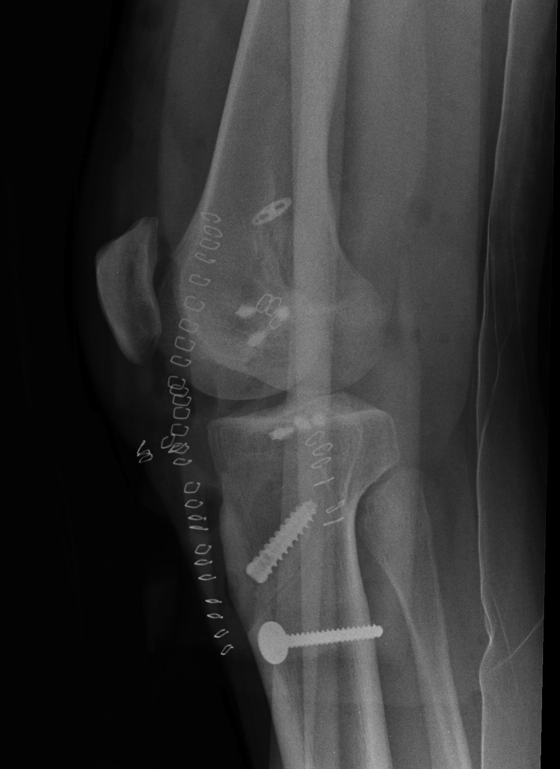
Multi-ligament knee injury
Some serious injuries to the knee can involve injury to multiple ligaments, including the anterior cruciate ligament (ACL), posterior cruciate ligament (PCL), medial collateral ligament (MCL) and lateral collateral ligament (LCL). In this setting, surgery is typically required to restore stability and function to the knee.
Most of the evidence for this uncommon but serious injury indicates that early repair of torn ligaments does not work, likely due to the fact that the ligaments are significantly stretched during the initial injury. For this reason, surgery usually involves reconstruction of the torn ligaments, using both autograft (your own tissue) for ACL, and allograft (cadaveric tissue) for the PCL, MCL and LCL.


After an MRI to diagnose the degree of damage, and careful clinical examination, it is often best initially to rehabilitate the knee to restore range of motion and reduce swelling. Medial collateral ligament (MCL) injuries can often heal on their own, with rehabilitation, bracing, and non weight bearing.
After 6 – 12 weeks, consideration of surgery can begin. An xray of both legs is important, to ensure that there is normal leg alignment. As a general rule, the ACL is reconstructed with the patella or hamstring tendon, and any significant PCL injuries reconstructed with tendoachilles allograft. Open surgery using tendoachilles allograft is required to reconstruct the LCL, on the outside of the knee.



Postoperative rehabilitation
Multi-ligament knee reconstruction is performed as day surgery at Women’s College Hospital. Someone must come and pick you up and take you home. It is advised to have someone around to help you for the first two days. All patients will be provided with a script for medications that should be filled at the hospital prior to going home. Medications will usually be Celebrex in the morning for 2 weeks, Aspirin at night for two weeks, and Tylenol regularly for the first week. A script for Oxycodone will also be provided.
Patients will need to be on crutches for 6 week. A brace is used to sleep and walk for the first six weeks, and is removed after 2 days to begin bending the knee, when sitting in a chair. If possible, patients should rent a Gameready machine, which provides ice and compression to the knee, significantly reducing postoperative pain. The information for the rental company will be provided to you.
Physiotherapy is required twice a week, immediately after surgery. A physiotherapy referral and protocol will be provided for you on the day of surgery. Patients are seen in clinic two weeks after surgery, for wound review.
Patients should take a week off work after the surgery, and then work from home for another 2 weeks if possible. Patients are not allowed to play sport for 12 months after surgery, as it takes this period of time for full quadriceps strength to be restored.
Risks of surgery
Multi-ligament knee reconstruction is a major operation. There is a 1/100 risk of deep infection, major stiffness, DVT/PE, major nerve or blood vessel damage, and patella fracture. Patients can get local areas of numbness around the graft harvest incisions, which typically improves over a year or two. The risk of retear of the ACL or other ligaments over your lifetime is 5%. The chance of a good outcome is approximately 90%.
