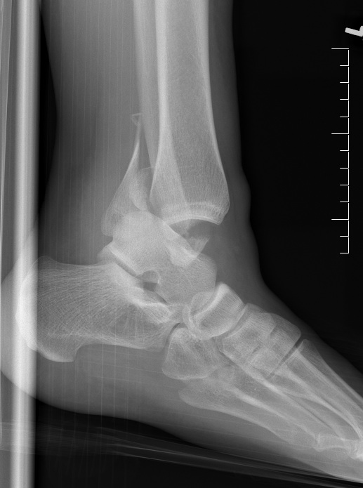
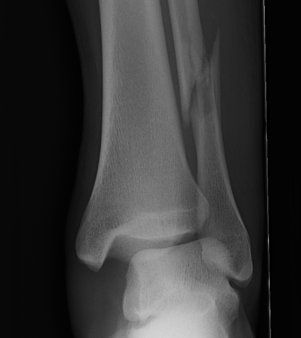
Ankle fractures are one of the more common injuries, and can vary in severity. Most commonly the fracture involves the fibula, although the distal tibia can also be injured. Xray is usually sufficient to diagnose these injuries.
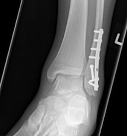
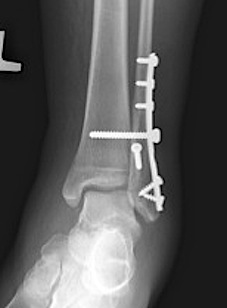
Many fractures can be treated without surgery, if the fractures are in place anatomically and can be maintained in this position with a cast. When there is significant displacement, or indications that there is significant ligament injury, surgery is recommended.
The main risk of the surgery is infection. This risk is low, about 1/100. Reducing swelling after surgery is critical, so keeping it up in the air when sitting or lying is very important. There can be some numbness around the incision, and there is a small risk of deep vein thrombosis. Usually there must be a period of non weight bearing for six weeks while the injury heals; however, early range of motion is useful to prevent or minimize stiffness. It can take 6 – 12 months to fully recover from these injuries.






